L'artrosi dell'articolazione del ginocchio (gonartrosi) è una malattia degenerativa in cui la cartilagine è più sottile. Secondo le statistiche, ogni quinto residente del pianeta soffre di questa patologia. Questo articolo prenderà in considerazione le principali cause dell'artrosi, i suoi sintomi in ogni fase, nonché i metodi di diagnosi e trattamento.
Cause
Ogni giorno, le articolazioni del ginocchio sperimentano un grande carico quando si camminano. Dopotutto, devono resistere alla massa di tutto il corpo. Di conseguenza, c'è un'usura graduale del tessuto della cartilagine, che è la causa dei cambiamenti patologici nelle ginocchia.
Il gruppo di rischio comprende le persone:
- anziano,
- soffrire di sovrappeso,
- Avere osteoporosi e disturbi metabolici,
- ho mai ricevuto un infortunio all'articolazione del ginocchio,
- rappresentando determinate professioni,
- soffrendo di carenza di microelementi,
- impegnato in sport pesanti.

Nella maggior parte delle persone di 40 anni, si può trovare la presenza di artrosi nella seconda o successiva fase di sviluppo.
I sintomi principali
Naturalmente, i cambiamenti nel tessuto della cartilagine non possono avvenire senza sintomi. Con una malattia, una persona può lamentarsi:
- Una sensazione di disagio nelle ginocchia dopo essersi svegliato o lungo -termine in posizione seduta,
- Dolore alle gambe dopo una posizione di lunga data,
- una sensazione di bruciore quando si arrampica sulla montagna e su per le scale,
- Debolezza nelle gambe dopo un leggero carico, nonché alla fine della giornata.
- Alcuni pazienti sono preoccupati anche di notte, durante il sonno.
Importante! La malattia non si verifica bruscamente, si sviluppa nel corso degli anni. Il dolore nelle prime fasi può essere insignificante, ma nel tempo c'è un aumento persistente.
Artrosi dell'articolazione del ginocchio 1 grado
In questa fase, la gonartrosi sta appena iniziando il suo sviluppo, quindi, per una persona, il processo procede quasi asintomatico. Tuttavia, alcuni segni possono ancora essere visti.
Una persona spesso inizia a provare affaticamento alle gambe, notare una leggera diminuzione della mobilità di una o due articolazioni del ginocchio. Questo fenomeno è particolarmente caratteristico al mattino, nei primi minuti dopo il risveglio.
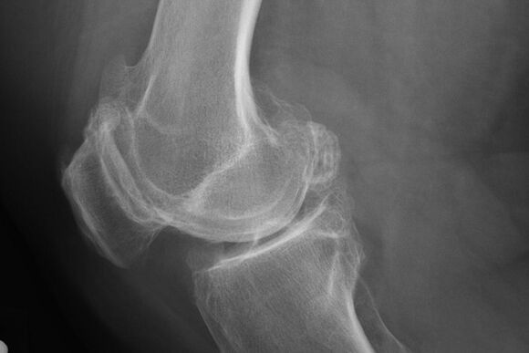
Di norma, la diagnosi della malattia in questa fase si verifica per caso, durante un raggio x. Su di esso, il medico può notare alcune irregolarità sulla cartilagine. È anche possibile restringere il lume tra le parti dell'articolazione.
Artrosi dell'articolazione del ginocchio 2 gradi
La patologia dell'articolazione del ginocchio inizia ad apparire più pronunciata. L'aspetto della sindrome del dolore è caratteristica, che è provocato da qualsiasi carico aggiuntivo sull'articolazione.
RIFERIMENTO. In questa fase, il dolore passa in modo indipendente, dopo un lungo riposo.
Inoltre, durante il secondo stadio, sintomi come:
- Cristallo con determinati movimenti. Può essere osservato sia in uno che in entrambe le ginocchia. Lo scricchiolio può essere appena evidente, ma gradualmente acquisisce un carattere ruvido, forte e molto distinto.
- Ridurre la capacità di piegare completamente la gamba nel ginocchio. Alcune persone possono fare questo solo ad un angolo di 90 gradi, quindi appare una sensazione spiacevole e sono costrette a fermarsi.
- Alcuni pazienti con gonartrosi del secondo stadio iniziano a lamentarsi della comparsa di un forte dolore che si verifica quando l'articolazione del ginocchio è piegata.
- È possibile cambiare la forma dell'articolazione del ginocchio, diventa più ampia, si gonfia. Ciò è dovuto all'accumulo di liquido patologico.

Se il disagio viene rilevato nell'area del ginocchio, è necessario consultare un medico in modo da prescrivere il trattamento giusto.
Artrosi dell'articolazione del ginocchio a 3 gradi
- In questa fase, all'articolazione dell'articolazione, si osservano cambiamenti di cartilagine strutturale molto forti. Le crescita che hanno grandi dimensioni compaiono su di esso.
- Si nota la curvatura della gamba interessata. Acquisisce una curva a forma di 0 a forma di X, che diventa un grave ostacolo alla vita piena del paziente. Di conseguenza, una persona può diventare una persona disabile.
- Un fenomeno caratteristico del terzo stadio della malattia è un forte dolore, che può essere osservato costantemente, intensificando dopo qualsiasi carico, anche leggero.
- Una persona nota la sensibilità dell'articolazione ai cambiamenti del tempo. Ora che il ciclone si sta avvicinando, il ginocchio fa male, tirano le sensazioni.

Con l'età, le articolazioni iniziano a rispondere ai cambiamenti nel tempo e nella pressione.
Artrosi dell'articolazione del ginocchio 4 gradi
È una fase finale estrema della malattia, in cui il divario tra le ossa è completamente assente.
RIFERIMENTO. La maggior parte degli ortopedisti attribuisce la quarta fase al terzo. Ciò è dovuto alla somiglianza dei sintomi e alla complessità della diagnosi tempestiva.
Poiché si osserva l'assenza di un divario, il movimento dell'articolazione è semplicemente impossibile.
Inoltre, il paziente è tormentato da un dolore insopportabile e costante, che è alleviato solo da gravi antidolorifici. Ma dopo un momento in cui l'azione di una compressa o di iniezione si interrompe, appare di nuovo un sintomo spiacevole.
Diagnostica
Un esame del paziente inizia con la sua richiesta di aiuto a uno specialista. Possono essere un terapista o ortopedista.
Il medico ascolta i reclami, raccoglie un anamnesi, conduce un esame. Prima di tutto, sarà interessato a cambiamenti esterni nell'articolazione, la limitazione della mobilità nella sua area.

X -Ray aiuterà a identificare le deviazioni nella cartilagine.
Durante la sondaggio, il paziente si lamenta dell'aspetto di sensazioni spiacevoli e con una lucentezza della tazza del ginocchio, si sente uno scricchiolio.
Importante! Una diagnosi non è possibile dopo un esame visivo del medico, anche in presenza di tutti i segni della malattia. Solo un esame completo consente di dare una risposta accurata sulla patologia che scorre nel ginocchio.
Dopo l'esame, il medico prescrive la radiografia del paziente. Questo è il metodo principale per diagnosticare l'artrosi dell'articolazione del ginocchio di qualsiasi grado.
X -Ray dà al medico un'idea dei cambiamenti che si verificano nella cartilagine dell'articolazione. Tuttavia, in alcuni casi, la fase iniziale potrebbe non essere definita nella foto.
Se necessario, il medico può prescrivere un passaggio ripetuto di una tomografia a raggi X o calcolata e risonanza magnetica.
Trattamento
Nel diagnosi della gonartrosi, dovrebbe iniziare un trattamento immediato. Ciò contribuirà a fermare la progressione della patologia, prevenendo molte complicazioni.
La terapia della malattia persegue diversi obiettivi contemporaneamente. Vale a dire:
- Eliminazione della sindrome del dolore,
- diminuzione della gravità di altri sintomi,
- Il massimo ripristino possibile della cartilagine interessata e dei legamenti dell'articolazione,
- Un aumento della mobilità dell'arto.
Il trattamento della malattia include metodi come:
- Drug Therapy,
- Massaggio, osteopatia, terapia manuale,
- Intervento chirurgico,
- Educazione fisica medica e preventiva,
- Fisioterapia.
Cura della droga
RIFERIMENTO. La terapia farmacologica è il metodo principale per il trattamento della malattia. Tuttavia, ha più successo se combinato con altri metodi.
I farmaci utilizzati per il trattamento della gonartrosi includono:
- Farmaci anti -infiammatori non steroidei - Alleviare il paziente dal dolore, alleviare l'infiammazione. Questi farmaci sono agenti sintomatici senza influire sulla causa della malattia. Combattono solo con le sue manifestazioni, portando un sollievo temporaneo.
- Condroprotectors - Ripristina tessuto cartilagine. Tuttavia, l'effetto diventa evidente non immediatamente. I farmaci hanno proprietà cumulative (accumulative), quindi il corpo ha bisogno di tempo per il loro pieno effetto.
- Droghe ormonali. Sono prescritti, di regola, con fasi avanzate della malattia. Questi fondi possono alleviare rapidamente il gonfiore e l'infiammazione dei tessuti intorno all'articolazione. Lo svantaggio di questa classe di farmaci è l'effetto sistemico sul corpo, in cui sono possibili molte reazioni avverse indesiderabili. Sono prescritti solo in corsi a tempo, durante un'esacerbazione del processo.
- Farmaci esterni, progettato per alleviare il dolore. Rilasciato sotto forma di unguento, crema.
- Acido ialuronico. È una nuova soluzione nel trattamento della gonartrosi. È un'introduzione intra -articolare di un mezzo che nutre l'articolazione. Ha un'efficienza abbastanza elevata. Tuttavia, il metodo è caratterizzato da carenze come: la possibilità di utilizzo solo nelle fasi iniziali della malattia e l'alto costo del farmaco.
Importante! L'introduzione di farmaci nel divario articolare è consentita non più di 1 volta in 7-10 giorni.
Massaggio
Il massaggio, nonché il trattamento manuale e osteopatico sono rivolti a:
- Eliminazione del dolore,
- Superare la rigidità dei movimenti nelle ginocchia,
- Miglioramento dell'afflusso di sangue nel sito della cartilagine,
- Fornire nutrienti e ossigeno nell'area dell'infiammazione.
RIFERIMENTO. Massaggio e procedure simili dovrebbero essere eseguite solo da una persona che ha un'istruzione speciale. Altrimenti, puoi danneggiare e aggravare la condizione dell'articolazione.
Intervento chirurgico
È una misura estrema nel trattamento dell'artrosi, quando la malattia è estremamente trascurata e altri metodi di terapia sono impotenti. Molto spesso viene utilizzato l'endopropostetica, in cui l'articolazione interessata viene sostituita da un impianto.
Le protesi possono essere di due tipi:
- pieno: l'intero giunto viene sostituito,
- Parziale: solo la parte più consumata dell'articolazione articolare è soggetta a sostituzione.
Le controindicazioni alle protesi sono:
- infezioni purulente croniche;
- disturbi neuromuscolari;
- patologie vene;
- Un certo numero di malattie cardiovascolari.
Un'altra opzione è l'osteotomia di correzione. Con questo metodo, una piastra viene inserita nell'articolazione, riducendo la pressione sull'area interessata del ginocchio.
Terapia di esercizio
È un'implementazione regolare e corretta di una serie di esercizi fisici volti a rafforzare l'articolazione e ripristinarne la mobilità.
Questa procedura può essere eseguita indipendentemente a casa, avendo precedentemente contattato uno specialista per consigli.
Prevenzione
Seguendo semplici regole impediranno il verificarsi o l'esacerbazione della distruzione della cartilagine. Per questo hai bisogno:
- Segui la dieta. Ciò contribuirà al controllo del peso corporeo, fornirà al corpo tutte le vitamine e i minerali necessari.
- Aderire a determinati sport, abbandonando gli altri. Il fatto è che con la gonartrosi, carichi eccessivi sulle ginocchia sono estremamente indesiderabili. Per questo motivo, correre e saltare è meglio sostituire con andare in bicicletta, nuotare o Aquaerobik.
- Eseguire regolarmente esercizi terapeutici.
- Indossare scarpe comode e ortopedicamente corrette. È inaccettabile indossare borchie e tacchi alti, una suola piatta, che dà la preferenza alle scarpe con un piccolo tallone.
L'artrosi dell'articolazione del ginocchio è una malattia abbastanza comune che può passare inosservata a lungo. Nonostante l'inizio asintomatico, la gonartrosi può portare a gravi complicanze, fino alla disabilità. Pertanto, è così importante condurre la diagnostica in tempo e iniziare il trattamento necessario.
















































